饭圈里说的兔区是什么

饭圈里说的兔区是什么

在现代社会上,随着网络发展越来越发达,大家平时在网上交流也比较频繁,所以就随之产生了很多的所谓的“网络用语”,经常上网的人看到马上就知道是什么意思,但是如果平时不太经常网上冲浪的话,可能就不会明白讲的是什么,比如饭圈...

废旧打火机属于什么垃圾分类

废旧打火机属于什么垃圾分类

属于干垃圾(其他垃圾)。干垃圾:即其他垃圾,是指除可回收物、有害垃圾、湿垃圾以外的其它生活废弃物。干垃圾主要包括:餐盒、餐巾纸、湿纸巾、卫生间用纸、塑料袋、玻璃、食品包装袋、污染严重的纸、烟蒂、纸尿裤、一次性杯子、大...

苏胡是什么意思

苏胡是什么意思

现如今,网络上出现了很多新新词语,比如绳命就是生命,乳齿是如此,粗事是出事,这些都是网络语言。这其中,苏胡就是舒服的另一种谐音。对于网络用语,很多人都持有不同的态度,有的人赞同网络用语,他们认为网络用语的出现可以使人...

出口货柜的标准尺寸

出口货柜的标准尺寸

出口货柜的标准尺寸有好几种,比较常见的就是20尺小柜和40尺大柜,所以不同的出口货柜,在每一个船公司那里的运输价格也是不一样的。出口货柜的种类比较多,像我们比较常见的20尺小柜和40尺大柜,这些都属于杂货集装箱。第一...

私人加油站和中石化的油有区别吗

私人加油站和中石化的油有区别吗

现在汽车已经成为了很多人必备的交通工具,汽车在不停地更新换代去满足人们不断增加的工作和生活需要,很多人都想知道私人加油站和中石化的油有区别吗?其实是有区别的,他们的区别主要是中石化的石油是自己生产的,其炼油技术和生产...

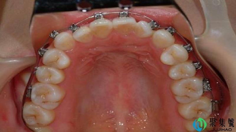
上颚是哪里

上颚是哪里

我们在日常生活中所说的上颚,其实就是口腔之中的上牙后面的部分,上颚在民间还有一个很好听的说法,叫做“天堂”。上颚的部分距离嘴唇的部位比较远,同时有上牙的阻挡,所以在我们日常清理口腔的过程之中不容易清理到,所以这个位置...

女生说养鱼啥意思

女生说养鱼啥意思

为了增加聊天的有趣性,所以很多朋友在聊天的时候会不使用那么正式的词语,会使用一些比较有意思的词语,接下来就和大家详细的说一说女生说养鱼啥意思,与此同时还会和大家详细的介绍一下其他常见的网络流行语。一起来看一看下面所叙...

陕西和西安什么关系

陕西和西安什么关系

陕西是一个省份,而西安则是一个城市,与此同时西安市也是陕西的省会城市,所以我们在说西安的时候通常都会说陕西西安。西安市是陕西的省府,在古代的时候,西安也被人们称为长安或者是镐京,这里曾经是中国历史上多个政权的都城所在...

孩子气的女生特征

孩子气的女生特征

大部分女生多多少少有一些孩子气,因为大部分女生都喜欢被人宠爱的感觉。显然,当一个有些孩子气的人更容易得到别人的怜爱,这在一定程度上也能让女孩子在与别人相处时得到更多的照顾。但是相应的,比较孩子气的人不会太懂得人情世故...

猫怕什么声音

猫怕什么声音

猫咪可爱的简直要融化我们的心,但是猫咪生性谨慎,它们害怕任何不熟悉的东西或环境。但是它们为什么会害怕这么多东西呢?没错,猫咪虽然天生是捕猎的好手,但是它们并不是站在食物链顶端的生物,所以恐惧也是一种本能。对于家养的猫...

丝瓜是什么垃圾呢

丝瓜是什么垃圾呢

1、丝瓜是属于湿垃圾,又叫餐厨垃圾/厨余垃圾/易腐垃圾。2、湿垃圾/餐厨垃圾/厨余垃圾/易腐垃圾,主要包含日常生活垃圾产生的容易腐烂的生物质废弃物,剩菜剩饭、瓜皮果核、花芬绿植、过期食品等,纯流质的食物垃圾、如牛奶等...

碎陶瓷片是什么垃圾分类

碎陶瓷片是什么垃圾分类

属于干垃圾(其他垃圾)。容易弄错的干垃圾:1、大骨头:主要是指大棒骨等体积较大,一时间不能快速分解的骨头,类似鸡骨头,鱼刺等,都属于湿垃圾。2、电池:普通的干电池被归为干垃圾,而不是有害垃圾,也就是1号,3号,7号电...

代理是干嘛的

代理是干嘛的

现在大家对一个词都不陌生,那就是“代理”。那是为什么呢?大家基本上都玩微信,微信朋友圈里面不可避免的都会出现微商,还打着招代理的旗号。那么代理到底是干嘛的呢?代理通俗的讲是和销售是差不多的。帮人家卖东西自己拿提成或者...

爬金山岭长城要多久

爬金山岭长城要多久

长城是很多人都向往去的地方,首先,长城这个建筑就是很宏伟的建筑,这个建筑的庞大是在这个建筑完成之前难以想象的。而长城一般都会跨越很多个山岭,这些山岭的高度会促使在爬长城的时候能够观赏到山下的风景。连绵不绝的山体会使得...

中国爱拉索是什么意思

中国爱拉索是什么意思

中国爱拉索表达的是中国我爱你的意思,其中的爱拉索的藏族的一种语气词,表达的是美好的意思,中国爱拉索出自于藏歌会的主题曲《天籁之爱》,这首歌曲流淌着清澈的嗓音,给人带来一种高远的意境之美。藏族是少数民族,其历史悠久,文...

白参适合什么人吃

白参适合什么人吃

白参是一个非常好的滋补佳品,在中医上白参的功效有生津,养阴和清热的功效,合理服用白参可以强身健体。一般情况下,白参更适合妇女和小孩服用,尤其对小孩出现盗汗、神衰等的症状有明显功效。与白参相对的是红参,红参主要针对寒症...

什么是中国舞包括什么

什么是中国舞包括什么

中国是有着五千年文明的古国,先人给我们留下了很多宝贵的财富,比如我们灿烂的中华文化。中国人自古就能歌善舞,早在两千年前就有非常厉害的乐器,像是编钟之类的,舞蹈也是不遑多让,种类十分繁多。中国舞有很多种,大体包括:民间...

皮革是什么垃圾

皮革是什么垃圾

皮革是可回收垃圾。【可回收垃圾是什么】可回收物指适宜回收利用和资源化利用的生活废弃物。可回收物主要品种包括:废纸、废弃塑料瓶、废金属、废包装物、废旧纺织物、废弃电器电子产品、废玻璃、废纸塑铝复合包装等。【可回收垃圾的...

不让鞋跟响的小窍门

不让鞋跟响的小窍门

几乎每个女生都会有好几双的高跟鞋,因为高跟鞋能够衬托出她们的气质,但是高跟鞋在走路的时候会发出那种哒哒哒的声音,噪音还是非常大的,会影响到周围人。那么有这么几个方法能够让高跟鞋的声音变小。不让鞋跟响的小窍门:把鞋掌换...

用过的塑料饭盒属于什么垃圾

用过的塑料饭盒属于什么垃圾

1、用过的一次性餐盒是其他垃圾。一次性餐盒多数是由塑料制成,也就是我们常说的白色污染,投放垃圾的时候要注意将它投放到其他垃圾箱内。用过的一次性餐盒因为有剩饭、剩菜和油渍残留,回收利用的成本太高。要重新清洗,会增加劳动...

一次性湿巾属于什么垃圾

一次性湿巾属于什么垃圾

属于干垃圾(其他垃圾)。容易弄错的干垃圾:1、大骨头:主要是指大棒骨等体积较大,一时间不能快速分解的骨头,类似鸡骨头,鱼刺等,都属于湿垃圾。2、电池:普通的干电池被归为干垃圾,而不是有害垃圾,也就是1号,3号,7号电...

游泳眼镜是什么垃圾

游泳眼镜是什么垃圾

游泳眼镜是干垃圾。【有哪些常见干垃圾】其它垃圾即干垃圾,除有害垃圾、可回收垃圾、湿垃圾以外的其它生活废弃物。干垃圾很难自己腐败,也不容易降解,但是对环境的影响比较小,所以最常用的解决方法是卫生填埋。生活中常见干垃圾有...

04592是什么意思

04592是什么意思

现在是新的世纪新的时代,各种网络用语玩梗玩的不亦乐乎,如果不是身处其中、长期浸染,看这些网络用语和段子,就跟看无字天书一样,摸不着头脑,看起来像是在对暗号。数字在这个时代也被赋予了超越自身的意义,像520、1314这...

未燃放的烟花爆竹是什么垃圾

未燃放的烟花爆竹是什么垃圾

1、干垃圾。干垃圾即其它垃圾,指除可回收物、有害垃圾、厨余垃圾(湿垃圾)以外的其它生活废弃物。2、干垃圾即其它垃圾,指除可回收物、有害垃圾、湿垃圾以外的其它生活废弃物。生活垃圾的具体分类标准可根据经济社会发展水平、生...

一次性手套纸巾属于什么垃圾

一次性手套纸巾属于什么垃圾

1、其他垃圾在家中、公司上班期间使用的纸巾、湿巾、家用一次性手套均属于其他垃圾。2、干垃圾即其它垃圾,指除可回收物、有害垃圾、湿垃圾以外的其它生活废弃物。生活垃圾的具体分类标准可根据经济社会发展水平、生活垃圾特性和处...

梨膏糖一天吃几块

梨膏糖一天吃几块

梨膏糖的成份比较温和,是用中草药制作而成的,一天最好控制在3到4颗左右就可以了。梨膏糖不适合脾胃差的人,也不适合孕妇,女性来月经也不要吃,也不要跟螃蟹一起吃。因为和螃蟹一起吃是很容易引起腹泻的,毕竟这两者是相克的关系...

龙眼壳是什么垃圾

龙眼壳是什么垃圾

龙眼壳是湿垃圾。【湿垃圾的定义】湿垃圾即厨余垃圾、有机垃圾,有机垃圾包括食物残渣、菜根、菜叶,动物蹄、角、瓜皮、果屑、蛋壳、鱼鳞、毛发、植物枝干、树叶、杂草、动物尸体、牲畜粪便等。【怎么投放湿垃圾】需要注意的是:1、...

小刀属于什么垃圾

小刀属于什么垃圾

属于可回收物,即可回收垃圾。其他的例如纺织物类主要包括:无纺布及帆布材质的包和手提袋、纯棉类和涤纶类衣服、羽绒衣、床上用品、地毯、毛巾、纯棉类或涤纶窗帘、桌布等。投放要求:1、废弃织物应捆牢后投放至废弃衣物回收箱或可...

虾条属于垃圾食品吗

虾条属于垃圾食品吗

1、虾条是属于垃圾食品,尤其是小孩子不要经常吃,不利于身体发育。有些小孩子就喜欢吃这种零食,家长一定要注意及时控制,尤其要避免影响到正常饮食,一旦影响到了孩子的生长发育就很难再治疗了。2、平时家长要多给孩子吃一些营养...

厌世少女脸是什么意思

厌世少女脸是什么意思

厌世少女脸的意思实际上就是指代那些拥有一张很有特点的脸的女生,可能比那些甜美可爱的女生看起来更不一样,更有特点,也更酷,似乎不笑,但是实际上却很吸引人。可能不一定要美,但是必须有特点。一般来说,厌世少女脸都会显得很酷...

最近发表

热门文章

热评文章

标签列表